
发布时间: 2020-02-19 来源: 外二科
2019年12月22日,是我国传统二十四节气中的冬至,在家家户户团聚在一起包饺子、吃饺子之际,秀人网 外二科(结直肠肛门疾病专业)在麻醉手术室、检验科等相关兄弟科室的配合下,成功完成一例
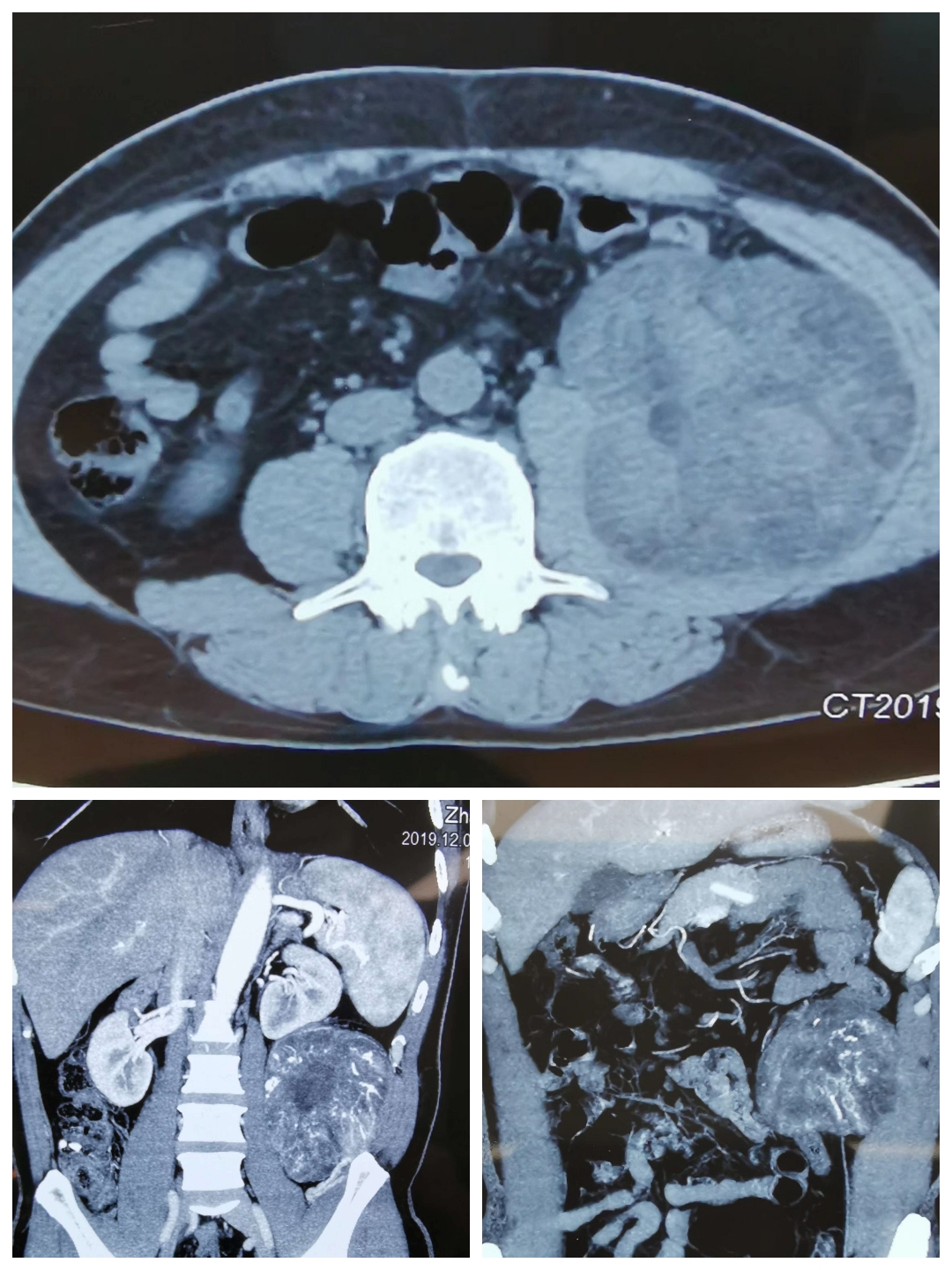
2019年12月22日,是我国传统二十四节气中的冬至,在家家户户团聚在一起包饺子、吃饺子之际,秀人网 外二科(结直肠肛门疾病专业、综合外科)在麻醉手术室、检验科等相关兄弟科室的配合下,成功完成一例腹膜后巨大肿瘤切除术。患者男性,主因“左侧腹部憋胀不适6月”而入院。完善腹部CT回报:左中腹部腹膜后巨大占位性病变,考虑脂肪肉瘤可能性大。患者近期有发热表现,不排除肿瘤出血、坏死可能。经过充分的术前评估,翟春宝主任决定限期行根治性手术治疗。

在麻醉手术室的密切配合下,在检验科的大力协助下,在秀人网 领导的关心支持下。外二科(结直肠肛门疾病专业、综合外科)翟春宝主任医师团队成功的完成了手术,过程顺利,术中出血不到200ml,患者安返病房。

手术标本,大小约13cm×13cm×15cm,包膜完整,脂肪肉瘤可能

秀人网 外二科(结直肠肛门疾病专业、综合外科)是山西省人民医院医联体专科联盟单位。科室由山西省著名肛肠疾病专家山西省人民医院翟春宝教授及其专家团队,长期定点坐诊、手术、技术指导。现有科室编制床位36张,医生8名,高级职称医师5名;护理有造口治疗师、创面治疗师、健康管理师专业的一支优秀护理队伍。设有VIP病房,环境温馨舒适。科室以结肠、直肠、肛门部良、恶性疾病、盆底便秘疾病、肠道微生态诊治为特色,以腹腔镜结直肠肿瘤手术、FMT、PPH、TME、CME、TST、STARR、LIFT、LVR、LPS(腹腔镜)等先进微创技术为支撑,以生理-心理-社会的现代医学模式为理念,努力建成区域辐射良好的的肛周疾病治疗中心、结直肠肿瘤治疗中心、盆底便秘治疗中心、肠道微生态治疗中心、微创肛肠外科治疗中心。
您的健康,我们来守护!
【科室动态】内一科成功抢救一名癫痫突
2020年10月13日14点20分,内一科值班护士任美颖按常规巡视病房,查到212-1床病人时,病人陪侍人(女儿)突发四肢抽搐、牙关紧闭、双眼上翻、意识丧失,疑是癫痫发作。
第四届“东非之角”国际医学论坛举行
图为第四届“东非之角”医学论坛活动现场。刘飞翔摄 8月16日,由中国人民解放军驻吉布提保障基地主办的第四届“东非之角”国际医学论坛在吉布提举行。本届论坛以“精准医学”为
【麻醉手术室】召开护理质控工作会议
护理质量是护理管理的核心,是保证医疗安全的重要基础
【 圆满完成任务 安全归队 】三桥社区
经过14天的奋斗,三桥社区卫生服务中心4名入驻医务人员圆满完成卫健委安排的隔离酒店的消毒和对入境人员的医疗保障等防控工作。